Scrum Venturesのイベントがキッカケ

ことの発端は、Scrum VenturesがSmartCityXとして行ったスタジオの取材だった。その中で、出光興産や地方自治体が協力して、これからEVの普及とともに不要になってくる地方のガソリンスタンドの活用事例として、『移動式MRIでの脳ドック』というアイデアがあった。
この担当の方が、「タクタさん、スマート脳ドック体験してみます?」と取材の機会を下さったのだ。
予約も受付も、とっても簡単
スマート脳ドックは全国さまざまな場所で受けることができるが( https://smartdock.jp/clinic )体験のためにうかがったのは、メディカルチェックスタジオ東京銀座クリニック( https://smartdock.jp/clinic/mcs-ginza )。銀座桜通りのとても便利な場所にある。

スマート脳ドックが1万9250円。今回受けた『スマート脳ドック+CT肺・心血管ドック/体脂肪検査』が3万4650円(いずれも保険適用外。今回は取材として無償提供いただきました)。
ネットで予約しておいて、指定の時間に行くと、サクサクとシステマチックに受付が済んで、すぐにMRIを受けられます。ちなみに、この機材、ビックリするほどのお値段がするそうです。

大きな音がして、ちょっと怖い
そして、技師の方の指示のままに寝っ転がって、機械の中に頭を突っ込みます。ちなみにMRIというのは磁力と電波を使って身体の細胞に含まれる水素原子を観測し、画像化する仕組みで、脳梗塞とか脳動脈瘤を発見できる。CTは放射線を使った検査で、今回はこれで肺と心臓の血管を見てもらうことになる。

別に、閉所恐怖症とかのケはないのだが、グワングワンと大きな音を出す機械に頭を突っ込むのは少し恐怖感を感じる。閉所恐怖症の人の気持ちが少し分かる気がした。顔のところを塞がれて(このあと頭部にカバーがかかる)動けない状態で、ガンガン音のする機械に頭を入れるのは怖い。
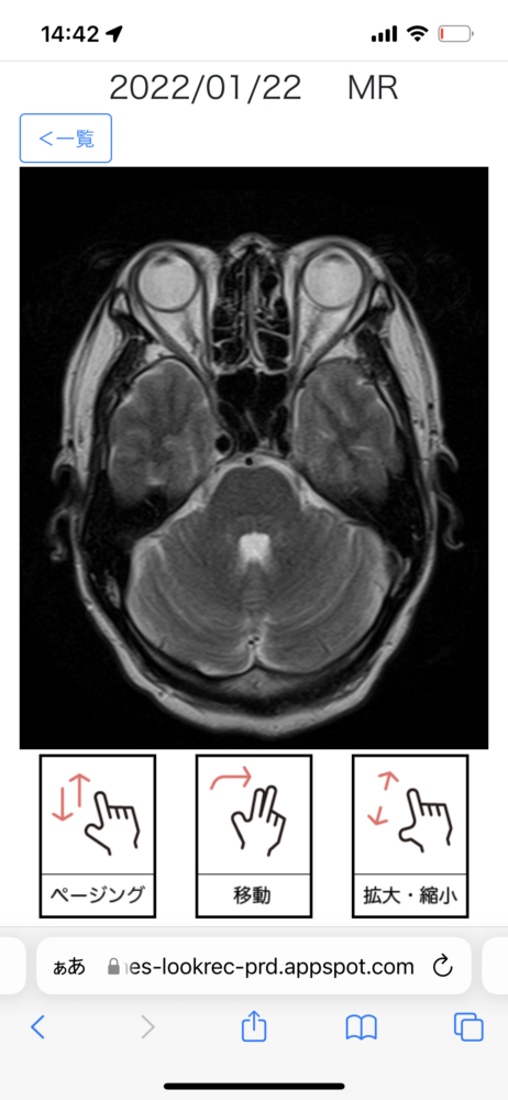
アッと言う間に輪切り画像が送られてくる
などと思ってるうちに、検査は終わる。病院のモニターには私の輪切り画像が何百枚と保存されている。この輪切り画像から、閲覧用の画像が合成されるとのこと。

肺の中身が丸見えだ。昨今のニュースで肺の炎症度合などが見られているような画像ですね。自分の身体の中がこうやって見えるって本当に不思議な感じです。
取材という名の雑談をしているうちに、脳のMRI画像や、身体のCTスキャン画像が送られてくる。速い! ちなみに、肥満ではなく、普通体重らしい。

これまで、医療従事者の方だけが持っていて、なぜか自分はゆっくり見ることができなかったこれらの画像を、自分のスマホで見ることができるのは新鮮な驚きだ。本来こうあるべきなのではないだろうか?

これは脳血管のMRI画像だそうだが、スクロールすることでグルグル回しながら立体形状を見ることができる。これにより静脈瘤などを見つけ出すことができるのだそうだ。

目玉の奥の視神経はこうなっているのか……鼻の穴の中の空洞はこうなっているのか……と、自分のスライスされた画像を見るのは興味深い。
1日24時間一緒にいて、何十年も使ってきた自分の身体だが、中を見るのはほぼ初めてだ。
もちろん、興味本位に身体の中を見るだけでなく、それを持って腫瘍や、静脈瘤などがないかどうかを診断してもらうのが目的なのだが、それでもこうやって自分で見られると、この身体をより良いコンディションで保ち続けたいという気持ちになる。
医師の検査結果が数日後に送られて来る
数日後、検診の結果が反映されたリンクが送られてきた。そこを開くと、MRI画像と一緒に、画像を診断した医師の所見がアップロードされている。

(これはごく一部で実際はもっと長い)
アカウントを作って、そこに画像と診断結果が送られてくるというスマートな仕組みに感心した。
受けることで防げる不幸がある。2〜3年に一度は受けたい
幸い、脳にも心臓にも肺にも『所見なし』。つまり、異常は発見されなかった。ホッとした。
これは勝手な推測だが、おそらくデータはクラウドに(匿名で)アップロードされ、その時に余裕のある医師がデータを診て診断する仕組みにすることで、迅速に結果を得つつ、コストを下げているのだろう。上手い仕組みだ。
筆者ぐらいの年齢(53歳)になると、友人が急に脳梗塞で倒れたり、麻痺が残ったりということがままある。普通に日常生活していた人が、突如倒れて入院し、取り返しのつかない状態に陥るのがこれらの疾患だ。
MRIやCTスキャンは、これらの予兆を察知できる数少ない方法。2〜3年に一度は受けて、チェックしておいた方がいいようだ。家族にも受けるように勧めたい。
関連する記事
-
- 2025.10.20
3日間で小説を書き上げる文芸ハッカソン“NovelJam”、今年も開催
-
- 2025.10.17
どっち買うべき? XREAL OneとOne Pro意外な違い
-
- 2025.10.17
スカウターを具現化? Even Realities社、ウィル・ワン氏インタビュー